Cytopathology
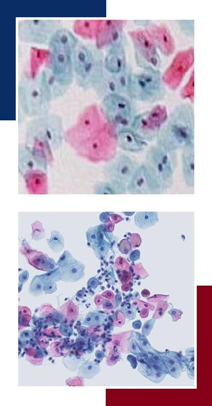
Arkansas Pathology Associates, P.A. offers the highest quality GYN and Non-GYN cytology services. We were the first pathology group in Arkansas to offer the Hologic ThinPrep Pap Test. This test system includes a liquid-based collection system, the latest automated processing system and computer imaging to aid in the screening of Pap tests. This technology improves the accuracy in interpretation for the Pap Test.
The ThinPrep Pap Test system provides the cytotechnologist and pathologist with a slide that is not obscured by blood, mucus or debris, leaving a monolayer of cells for evaluation. This test system has been proven to be more effective in identifying High Grade Squamous Intraepithelial Lesions (HSIL) of the uterine cervix.
This liquid-based system specimen collection system also provides a sample that can be used for additional testing from the ThinPrep vial, including PCR testing for Chlamydia, Gonorrhea and Human Papilloma Virus (HPV). See Molecular Pathology for additional information.
Non-gynecological cytopathology is a test that examines cells from non-gynecological specimens to detect cancer, infections and other conditions. It can be performed on urine, sputum, cerebrospinal fluid or other body fluids.
